Smile Gallery
Our team at ICS Dental Studio enjoys seeing our patients smile. We invite you to view some of our patients' results. If you have additional questions or would like to book an appointment, you are welcome to contact our East Hills dental practice. We are conveniently located near Picnic Point and Panania.
*The images shown in our Smile Gallery are examples of dental treatments provided at our practice. Individual results will vary depending on each patient’s dental needs and circumstances.


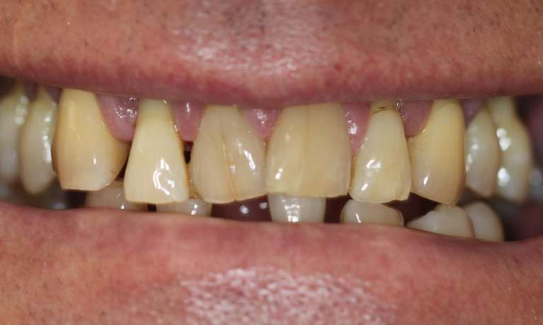
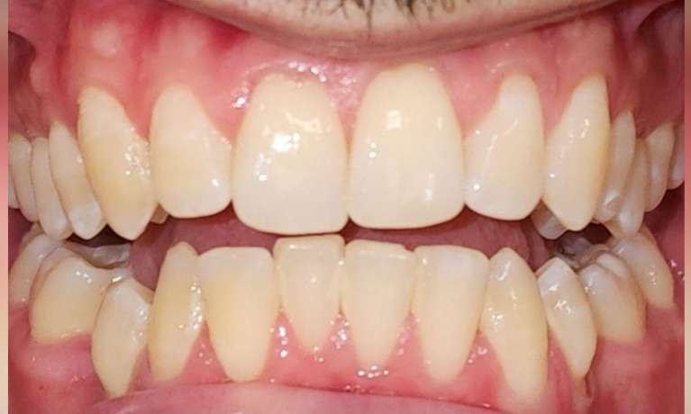
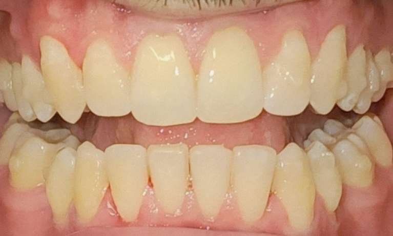
Stunning smile transformation with composite bonding on the four upper front teeth completed with a professional whitening treatment for a radiant and natural look.


This patient's two missing teeth were expertly replaced with dental implants. The transformation not only restored their natural smile but also improved overall dental function.


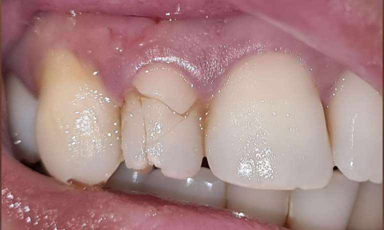
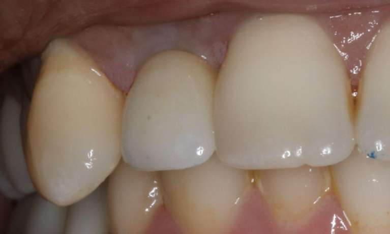
This patient experienced trauma to a single tooth, rendering it irreparable and necessitating its removal. Our solution involved replacing the compromised tooth with a dental implant, providing a strong, natural-looking, and permanent restoration.


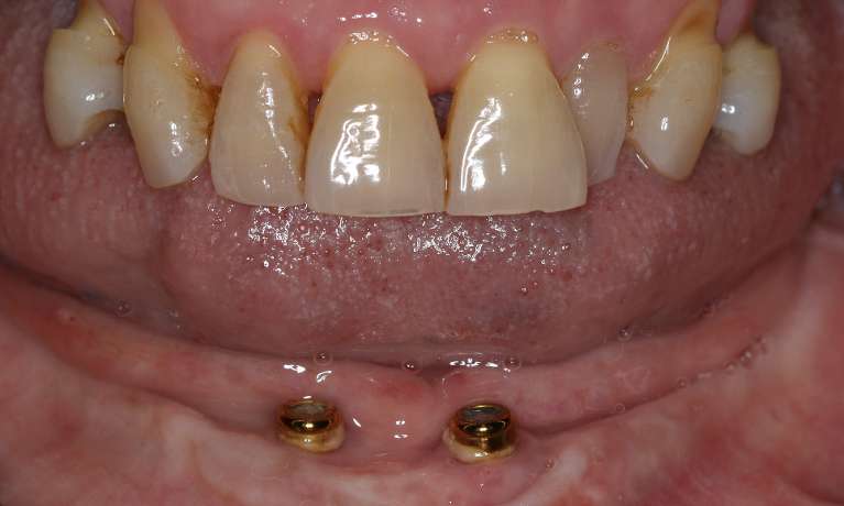
The upper and lower sets of teeth are removed and replaced with removable dentures that are securely held in place by dental implants. This provides improved stability, comfort, and function - leading to a patient who was thrilled with their new smile!


This patient was looking for subtle cosmetic touch ups. We used composite bonding to enhance the shape and appearance of the front teeth, resulting in a more balanced and confident smile.


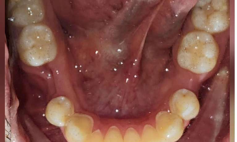
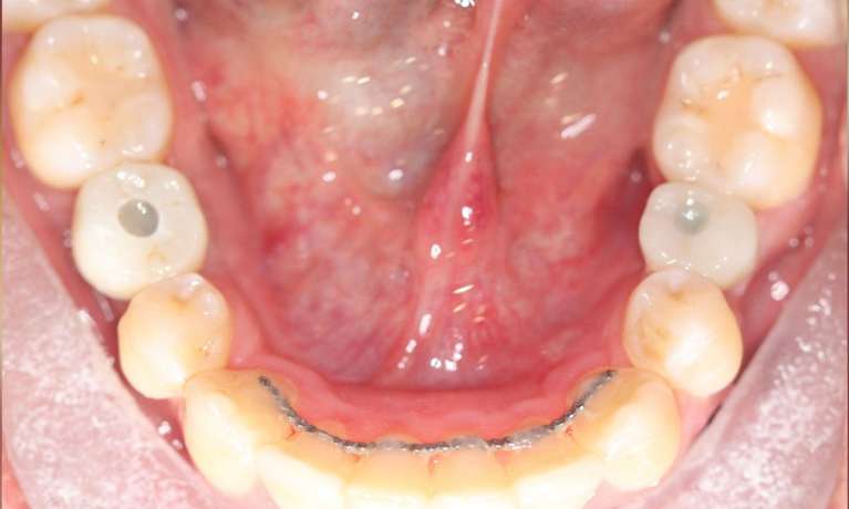
For this patient, dental implants were used to replace missing back teeth to help reestablish chewing efficiency and improve overall oral function.


This patient came to us with some front teeth crowding, which was fixed with an Invisalign treatment. This gradually aligned the teeth leading to a straighter and more harmonious smile.


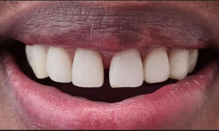
We transformed this patient's smile with custom-made veneers. They now have a beautiful, natural-looking smile they can be proud of. Dental veneers can address a variety of cosmetic concerns, giving you the confidence to smile brightly.


Implant-retained dentures have transformed our patient's smile. This permanent solution provides stability, comfort and a natural look, making it a fantastic option for those missing teeth. Our patient is thrilled with the results - and we are too.


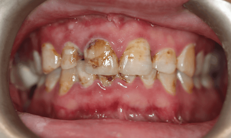
This patient sought to improve the overall aesthetics of their smile, presenting with discolouration and uneven tooth appearance. Our solution involved a comprehensive approach using dental veneers to achieve a bright, uniform and harmonious smile.


This patient presented with discolouration and uneven tooth shapes, eager to achieve a brighter, more uniform smile. Through the artistry of porcelain veneers, we were able to completely revitalise their smile.




Implant-retained dentures have given this patient a smile that's built to last. This permanent solution not only looks natural but also provides the comfort and security needed to enjoy life to the fullest.


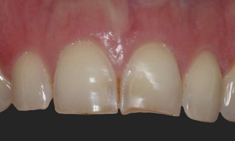
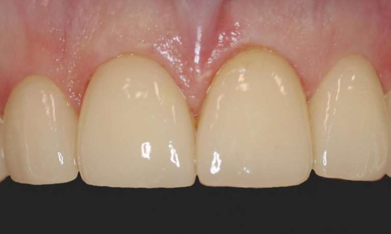
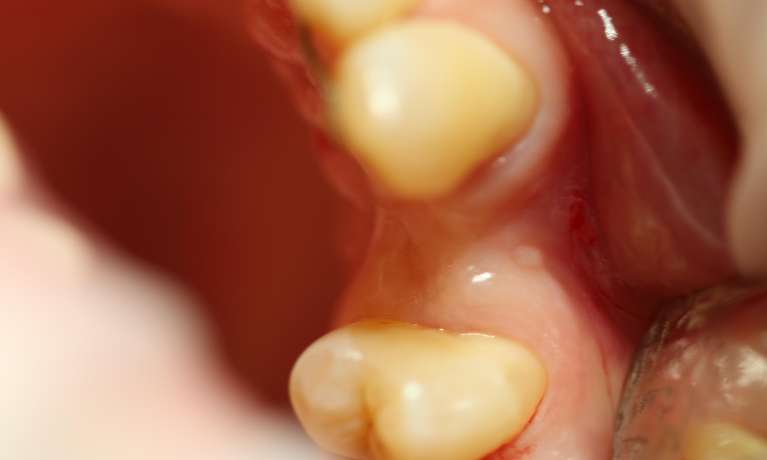
This case showcases the successful outcome of a gum graft procedure performed around an existing dental implant. Initially, the patient experienced gum recession around their implant, which can sometimes expose the implant's margin or simply lead to an uneven gum line.


This patient arrived with several missing and decayed teeth, impacting both their oral health and confidence. Through the innovative All-on-4 dental implant procedure, they received a complete, beautiful and functional new smile.


This patient had a missing back tooth replaced with a single, strategically placed dental implant. While not always visible, replacing a back tooth is crucial for maintaining proper chewing function and preventing surrounding teeth from shifting.